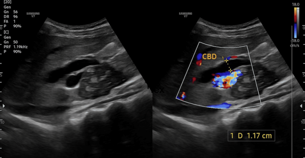
Obstructive Jaundice Due to Periportal Tuberculous Lymphadenopathy in a Patient With Multidrug-Resistant (MDR) Tuberculosis: A Case Report Cureus
Obstructive Jaundice Due to Periportal Tuberculous Lymphadenopathy in a Patient With Multidrug-Resistant (MDR) Tuberculosis: A Case Report – Cureus


